热点关注:  
放射性同位素 粒子加速器 辐照杀菌 无损检测 高新核材 辐射成像 放射诊疗 辐射育种 食品辐照保鲜 废水辐照 X射线 中广核技 中国同辐

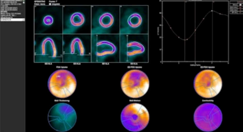
FDG-PET心脏成像效能与MRI相当

2026-04-03 09:24          核医学PET/CT

近期,泰国研究人员报告称,F-18 FDG-PET在乳腺癌患者左心室射血分数评估中,与cardiac MRI结果无统计学差异。

研究对比多种PET采集技术,发现双门控PET/CT与MRI差异最小,仅为6.4%。研究团队指出,基于PET的心功能评估便捷、可及,具备临床可行性,有望在无创心脏功能检测中发挥重要作用。


推荐阅读

原子高科连获两项重磅荣誉:技术突破与国际合作双丰收

近日,原子高科在核技术应用领域捷报频传、双喜临门——公司独立申报的医用同位素64Cu、89Zr及103Pd关键制备技术研发与应用项目荣膺2025年度中国同位素与辐射行业协会科学技术一等奖;与此同时,马来西亚放药产线项目成功入选核技术应用国际合作代表项目。深耕核技术应用沃土,锻造自主创新长板。此次斩获一等奖的64Cu、89Zr、103Pd医用同位素关键制备技术,均被列入《医用同位素中长期发展规划》,集诊疗一体化、免疫PET精准显像及实体瘤近距... 2026-04-24

国家级布拉格治疗分会成立 共筑核医融合肿瘤诊疗新生态

近日,中国同位素与辐射行业协会布拉格治疗分会正式成立,第一届一次理事会暨学术交流会在苏州顺利召开。本次会议由中国同位素与辐射行业协会布拉格治疗分会、中核医疗产业管理有限公司共同主办,核工业总医院、中核核素医疗投资有限公司联合承办,全国100余名理事代表齐聚一堂,共同见证核技术医学应用创新发展的重要时刻。本次理事会由中核医疗产业管理有限公司副总经理朱强、新华社中国财富研究院执行院长张庆源共同主持。中国同位素与辐... 2026-04-24

中国同辐与核工业总医院开展合作交流

4月22日,核工业总医院党委书记徐博一行莅临中核安科锐,与中国同辐党委书记、董事长肖亚飞围绕进一步深化合作、强化协同进行深入交流。徐博表示,今年是集团公司追求卓越·改革破局年,总医院将重点发展核医疗,不断加强内部协同合作,全力推动中国同辐全系列产品在总医院的落地应用,共同推进核医疗平台建设,健全完善培训体系,全面提升核医疗技术能力与服务水平。肖亚飞对徐博一行表示热烈欢迎,对核工业总医院一直以来的支持表示衷心感谢。他表示,... 2026-04-24

TAG1与NRGPALLAS签署战略协议 将合作扩大欧洲医用铅-212供应规模

全球领先的医用同位素供应商TAG1公司与核能解决方案企业NRGPALLAS于2026年4月22日签署合作意向书,双方将共同推进欧洲铅-212的供应能力,以支持下一代癌症疗法开发。基于现有供应安排,NRGPALLAS将继续向TAG1交付高纯度镭-224直至2028年。通过此次合作,双方将向欧洲范围内的癌症药物研发机构、创新疗法公司及医疗机构提供临床与临床前研究所需的铅-212。根据协议,TAG1将利用其专有的便携式铅-212发生器,结合NRGPALLAS世界级的镭-224生产能力... 2026-04-23

美国Actinium制药公司公布新型靶向放疗新药临床前积极数据

美国Actinium制药公司在2026年美国癌症研究协会年会上公布了其在研新型靶向放射性药物ATNM-400的临床前积极数据。该药物是一种靶向非PSMA膜抗原的锕-225放射性偶联物,在多种晚期实体瘤模型中显示出泛肿瘤疗效,包括前列腺癌、非小细胞肺癌及乳腺癌等,展现出作为first-in-class疗法在多适应症中的应用潜力。在关键数据方面,ATNM-400表现出独特的差异化特征。在多种前列腺癌模型中,无论PSMA表达水平高低,其均显示出优于载体对照、裸抗体及已... 2026-04-23

阅读排行榜