热点关注:  
放射性同位素 粒子加速器 辐照杀菌 无损检测 高新核材 辐射成像 放射诊疗 辐射育种 食品辐照保鲜 废水辐照 X射线 中广核技 中国同辐

产业应用

我国重离子肿瘤治疗技术跻身国际先进行列 恶性肿瘤治疗临床疗效实现突破性跃升

从近日在连云港结束的中国核学会近距离治疗与智慧放疗分会2025年学术年会上传出好消息:历经10年建设、5年临床实践,甘肃省武威肿瘤医院武威重离子中心交出了一份振奋人心的中国答卷。在恶性肿瘤治疗领域,其临床疗效实现突破性跃升:针对难治性高级别脑胶质瘤,患者中位无进展生存期(即在可评估的患者中,50%的患者能达到的无进展生存期)较国际公认的光子Stupp研究近乎翻倍,中位生存期更是提升13.4个月,突破至28个月;面对III期局部晚期肺癌,2年总... 2025-12-11 核医学放射诊疗

俄罗斯国家原子能集团矿业部门在极端条件下测试新型国产钻机

俄罗斯新型钻机ZBO S15E已交付至俄罗斯原子能集团矿业部门所属企业——鲁斯钻机股份公司。首台ZBO S15E正应用于俄罗斯原子能集团矿业部门旗下企业——希亚格达股份公司开发的韦尔希诺耶铀矿床钻井作业。目前布里亚特共和国巴翁托夫斯基埃文基区平均气温低于零下25°C,但设备未出现任何技术故障。ZBO S15E的亮点之一在于搭载了"智能钻井"技术方案。该系统可实时显示钻井过程的技术参数(回转器扭矩、钻柱重量、井底压力、钻井液压... 2025-12-11 铀矿

陆丰核电项目部:突破20000道焊口,一次合格率超99% 验证小管自熔焊全面适配核岛工况

12月8日,中核二三陆丰核电项目小管自熔焊技术应用取得阶段性重要成果:累计完成焊口突破20000道,当月焊接一次合格率达99.14%。这一成果标志着该技术已完全适应核岛安装施工复杂工况,从根本上打破小管焊接长期依赖传统手工焊接的单一模式,构建起高效、稳定、低依赖的现代化焊接施工新体系,为核岛小管焊接施工提质增效筑牢技术根基。自2025年2月8日小管自熔焊技术在华龙一号堆型首次应用以来,中核二三陆丰项目攻坚团队针对传统模式痛点展开技... 2025-12-10 产业应用

诊断类放射性药品首次通过国谈进入国家医保

12月7日,国家医疗保障局发布《国家基本医疗保险、工伤保险和生育保险药品目录(2025年)》,锝[99mTc]替曲膦注射液正式纳入2025年国家医保目录,成为国内首个通过国谈进入国家医保目录的诊断类放射性药品。此前,东诚药业公告称,公司全资子公司安迪科的锝[99mTc]替曲膦注射液产品被纳入《国家基本医疗保险、生育保险和工伤保险药品目录(2025年)》,这将提高患者对SPECT-MPI检查的可及性,促进冠状动脉疾病诊疗精准化。中华医学会核医学分会前任主... 2025-12-10 放射性药物

AdvanCell接收首批高活度Th228,Pb212核药管线ADVC001将开展II期扩展实验

2025年12月8日,AdvanCell 接收首批高活度228Th。228Th 是生产α核素212Pb 的母体同位素和关键起始物料。此次交付标志着该公司的一个重要里程碑,展示了其位于澳大利亚布里斯班的设施具备行业领先的基础设施和运营能力。这一独特能力使 AdvanCell 在加速扩大 212Pb 生产规模方面具备了强大的竞争力,便于快速推动ADVC001的临床开发。接收到的 228Th 将被加工成该公司专有发生器的放射源,率先部署在澳大利亚的生产设施中,随后部署在美... 2025-12-10 核医药放射性药物

澳大利亚ANSTO获MRFF拨款 开发新型脑癌精准放射疗法

澳大利亚核科学与技术组织(ANSTO)作为牵头机构,首次获得医学研究未来基金(MRFF)拨款,将在四年内获得1,623,306美元,用于开发针对侵袭性脑癌的新型精准放射疗法——中子俘获增强粒子疗法(NCEPT)。该项目由Mitra Safavi-Naeini博士领导,是澳大利亚脑癌使命的一部分,旨在提高脑癌患者的生存率和生活质量。ANSTO已投入超过1.2亿美元,致力于改善脑癌治疗效果,此次获得的MRFF拨款,将进一步推动其在脑癌研究领域的进展。萨法维-纳伊尼博士表示:这项... 2025-12-09 放射医学

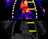
中国临床启动在即,靶向PSMA的抗体核素偶联药物TLX591全球III期研究进入新阶段

Telix Pharmaceuticals公司今日宣布,其针对转移性去势抵抗性前列腺癌(mCRPC)的主要在研疗法TLX591(177Lurosopatamab tetraxetan)的ProstACT全球III期研究已取得重要进展。该研究的第二部分(随机治疗扩展阶段)首位患者已在澳大利亚墨尔本的前列腺癌中心完成给药。ProstACT全球研究是首个将PSMA靶向放射性抗体偶联药物(rADC)疗法与标准治疗(SOC),包括阿比特龙、恩扎卢胺或多西他赛联合使用,并与单独使用标准治疗进行对比的III期试验。第. 2025-12-08 核医学核医药放射性药物

俄罗斯彼尔姆理工大学开发新型生物吸附剂 助力水体铯-137净化

放射性物质污染水资源问题在全球愈发严峻,其中铯-137是主要威胁。它源于核电站、核燃料循环设施和核武器试验等活动,可在环境中存留30年以上,通过水体迁移并在食物链积累,引发癌症等严重疾病。目前水净化方法存在缺陷,天然吸附剂很快失效,化学净化会产生难处理的放射性沉积物。铯-137的破坏性源于其物理化学性质。它是强效伽马射线源,能穿透生物结构造成细胞损伤。其性质与钾相似,人体会主动吸收并均匀分布到各组织器官,在肌肉、肝脏和脾脏易... 2025-12-08 放射性物质俄罗斯

俄罗斯谢韦尔斯克放射性废物处置设施一期将竣工 筑牢核安全防线

位于谢韦尔斯克的最终放射性废物处置设施一期工程即将竣工,该设施设计使用寿命至少500年,计划于今年年底完工,明年夏季将接收首批废物。苏联核计划曾留下大量乏核燃料和放射性废物,以及众多核与辐射危险场所。当时,如何处理这些废弃物尚无明确方案,也非优先事项。后来,这些问题被统称为核遗留问题。本世纪初,俄罗斯乏核燃料总量庞大,部分现场储存设施接近饱和,可处置放射性废物总量巨大。为解决这些问题,2011年,俄罗斯通过《放射性废物管理法》,... 2025-12-07 俄罗斯放射性废物核安全

俄罗斯国家原子能公司完成放射性药物高级培训 推动核医学专业人才培养

放射性药物生产中的放射化学方法及质量控制技术教育模块在俄罗斯国家原子能公司技术学院圆满落幕。这一模块是核医学学院跨学科项目的一部分,由俄罗斯国家原子能公司与天狼星大学携手合作,同时属于俄罗斯国家原子能公司与人才与成功教育基金会合作路线图的重要环节。此次高级培训项目吸引了众多专业人士参与,31名来自俄罗斯主要医疗中心、企业、科研院所和大学的专家齐聚一堂。培训师资力量雄厚,由来自专业机构的顶尖专家担任讲师。项目... 2025-12-07 俄罗斯核医学放射性药物

曲面微区X射线荧光光谱仪助力文物表面元素分析取得新突破

近日,高能所与故宫博物院合作,利用自主研发的曲面微区X射线荧光光谱仪(图1)在文物表面元素分析领域取得的新突破,实现了对曲面文物的表面自适应高精度荧光扫描成像。相关成果以Applications of surface adaptive micro X-ray fluorescence scanner in cultural relics为题,发表于《npj Heritage Science》期刊。图1 曲面微区X射线荧光光谱仪微区X射线荧光成像技术是一种高空间分辨率的物体表面元素无损分析技术,能够对物体表 2025-12-06 X射线装置

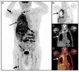
靶向MC1R的Ac-225治疗性核药完成首例患者给药,Alpha-9 Oncology的黑色素瘤诊疗一体化项目取得重要进展

2025年12月4日,临床阶段的放射性药物研发公司Alpha-9 Oncology宣布,已启动一项I期研究,并完成首例患者给药。该研究旨在评估A9-3408的安全性、剂量学及剂量递增情况,这是一种新型靶向黑色素皮质素1受体(MC1R)的Ac-225核素药物,用于治疗经标准疗法治疗后病情进展的MC1R阳性黑色素瘤患者。这一里程碑式的进展推动了Alpha-9的黑色素瘤项目。该项目于去年随着A9-3202的启动而首次进入临床阶段,A9-3202是一种基于Ga-68的显像剂,用于评估MC1R的表... 2025-12-06 核医药放射性药物

工业“神探”上岗:相控阵超声检测技术守护核电站“安全健康”

无损检测作为核电设备健康体检的重要手段,直接关乎着核设施运行的安全性与可靠性。近日,中核二二检测团队首次在陆丰核电项目CV钢制安全壳焊缝检测中成功应用相控阵超声检测技术,标志着中核二二公司在无损检测数字化转型中取得重要进展。智慧之眼破解检测难题核电设备焊缝长期处于高温、高压环境,微小裂纹等隐性缺陷可能诱发重大安全风险,因此焊缝检测被喻为守护核电安全的最后一道关卡。从数吨重的CV安全壳拼装模块到细如发丝的微裂纹,核... 2025-12-06 无损检测超声检测

纽瑞特医疗完成68Ga-NRT6020注射液及177Lu-NRT6020注射液安全性和耐受性I期临床试验首例受试者入组

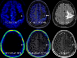
近日,由成都纽瑞特医疗科技股份有限公司(以下简称纽瑞特医疗)申办的一项评价68Ga-NRT6020注射液及177Lu-NRT6020注射液在FAP阳性晚期恶性实体瘤受试者中的安全性和耐受性的I期临床试验于复旦大学附属肿瘤医院(主要研究者:宋少莉教授、张剑教授)成功完成首例受试者给药,这标志着该项临床研究已从筹备阶段正式进入实质性实施阶段,也是68Ga-NRT6020注射液及177Lu-NRT6020注射液诊疗一体化开发过程中的一个重要里程碑。关于FAPFAP是具有细胞... 2025-12-05 核医学放射性药物核医药

俄罗斯国家原子能公司旗下切佩茨克机械厂引入增材制造技术用于设备维护与改造

切佩茨克机械厂(切佩茨克机械股份公司,位于乌德穆尔特共和国格拉佐夫市,隶属俄罗斯国家原子能集团公司燃料事业部)已将三维打印技术引入生产。工业级3D打印技术能够快速补充生产锆钛制品(俄罗斯工业急需产品)所需设备的工装、工具及备件库存。该企业已建立包含200余种轧制、研磨、加工及超声波设备成品三维图纸的数字库。如今数十种工装、工具及备件不再以实物形式存储,而是存入"数字仓库"——这既节省了采购时间,又能确保在企业内部快... 2025-12-05 3D打印俄罗斯
阅读排行榜