热点关注:  
放射性同位素 粒子加速器 辐照杀菌 无损检测 高新核材 辐射成像 放射诊疗 辐射育种 食品辐照保鲜 废水辐照 X射线 中广核技 中国同辐

产业应用

ITM获得了3300万欧元的股权投资资金,用以推进靶向放射性药物更精准的肿瘤学管道

TM 是生产和供应用于各种癌症适应症的精准诊断和靶向治疗的优质医用放射性同位素的全球领导者,并建立了广泛的国际供应网络。该公司已将其专业知识整合到开发针对难以治疗的癌症适应症的靶向放射性药物诊断和治疗的广泛专有管道。 2022-03-23 医用同位素放射性同位素放射性核素镥-177核医学放射性药物靶向治疗

原来光线也的可以循环的?如何利用循环的X射线来实现产生更高质量的激光脉冲!

自1960年西奥多·迈曼创造出世界上第一台红外激光器以来,物理学家们一直梦想产生能够探测超短和超快尺度微小原子和分子的X射线激光脉冲。这一梦想终于在2009年实现,当时世界上第一台硬X射线自由电子激光器(XFEL),在美国能源部SLAC国家加速器实验室的直线加速器相干光源(LCLS)产生了第一束这样的光。 2022-03-23 X射线

今年将迎来北京激光加速创新中心工程的全面竣工,促进激光加速器与各学科的融合

北京激光加速创新中心将围绕激光驱动高能带电离子束的产生及其在聚变能源、空间辐射模拟、生物辐照和超快离子束应用等方面展开研究,促进激光加速器与能源、生物以及材料等学科的交叉融合,为辐射医学、前沿物理、先进材料等领域重要科学问题的研究提供条件。 2022-03-23 质子加速器

关于福岛核事故的后续,核污水及放射性物质的问题处理依旧困难重重

2011年3月11日,日本东北部海域发生9.0级地震,地震引发的巨大海啸袭击了福岛第一核电站,造成核电站1至3号机组堆芯熔毁。11年后的今天,如何处理福岛第一核电站海量核污染水等核事故后患,以及尽快恢复当地民众生产生活,依然是摆在日本政府面前的难题。福岛核事故发生后,日本政府要求周边居民前往他处避难。据统计,福岛县离开原住处到各地避难的核事故灾民人数最高峰时达到16万余人。至今,仍有约3.8万灾民未能返回家园。福岛县7个行政区域内有33... 2022-03-23 放射性物质核污水核辐射

Telix 的医用同位素放射性药物的生产设施开始扩建

在 2021 年底在该场地退役和拆除两个现有的回旋加速器后,1公司表示已获得 1,210 万欧元(1,820 万澳元)的债务融资方案,以帮助为第一阶段的建筑工程提供资金,其中将包括扩建放射性药房,以及安装第一个回旋加速器、洁净室和净化套件(第一阶段)。现场正在进行第一阶段的建设工程。 2022-03-22 放射性药物医用同位素回旋加速器

荷兰 HFR 即将重启,首批用于核医学的医用同位素

NRG 宣布,位于荷兰佩滕的高通量反应堆(HFR)是医用同位素的主要来源,于 3 月 17 日重新启动。NRG|PALLAS 商务总监 Vinod Ramnandanlal 表示:“两周内,首批用于核医学的医用同位素将被运送到医院。” 2022-03-22 医用同位素核医学

SHINE 与 DOE 签署了铀租赁的相关合同用以支持医用同位素的生产使用

SHINE Technologies与能源部合作,在美国生产医用同位素钼 99,不使用高浓缩铀,同时满足核不扩散要求。 2022-03-22 医用同位素钼-99放射性废物

Philochem 和 Bracco Imaging 宣布合作携手开发,使用于放射性核素或X 射线成像等医学方面应用的小分子

它为所有关键的诊断成像模式提供产品和解决方案组合:X 射线成像(包括计算机断层扫描-CT、介入放射学和心导管术)、磁共振成像 (MRI)、对比增强超声 (CEUS) 和核医学通过放射性示踪剂和新型 PET 显像剂为临床管理提供信息,并指导未满足医疗需求领域的癌症患者的护理。 2022-03-22 放射医学核医学放射性示踪剂放射性核素

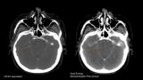
放射诊疗影像创新使得放射治疗的诊所的视野更清晰一些

现在您看到了:从双能 CT 获得的单能重建可以提供更好的图像对比度,以帮助临床决策。在此示例中,40 keV(右)的大脑单能图像比使用传统 CT 获得的等效图像显示更多细节。 2022-03-22 放射诊疗

大型强子对撞机的 ATLAS 项目是什么?

ATLAS 实验是世界上最大的原子对撞机大型强子对撞机 (LHC) 中最大的粒子探测器。ATLAS 实验(“A Toroidal LHC Apparatus”的缩写)检测粒子束在 LHC 以接近光速的速度相互碰撞后产生的微小亚原子粒子。 2022-03-22 对撞机

春事看农桑——播下优质种子,丰收更有底气

3月17日,神舟十三号乘组在轨驻留满五个月,创造了中国航天员在轨150天的新纪录。五个月时间里,航天员进行了多项科学技术试验与应用,其中有一项就是航天育种。 2022-03-22 航天育种

5G时代的“慧眼”提升了通关效率,仅需几秒就能识别固体废弃物

在防城港繁忙的企沙港码头,广西钢铁集团有限公司进口的铁矿石正在通过传送皮带卸货。与此同时,在防城海关驻企沙港办事处的智慧监管指挥中心内,海关工作人员正紧盯屏幕开展检测,监控器上显示着进口货物卸货皮带上方安装的辐射探测器正持续对铁矿石进行放射性检测,几秒钟后检测结果即时回传至海关监管系统。 2022-03-22 辐射探测

兼具高壁垒、高成长的核药赛道之上,都有哪些国产龙头?

如今,在集采常态化、医保谈判严格控费等政策的影响下,医药板块中受政策影响小且兼具高壁垒、高增长的赛道不多,核药算是其中之一。究竟核药赛道如何?哪些国产龙头企业值得关注?我们深入探究。 2022-03-22 核医学核医药

大跨度的桥悬臂的钢筋混凝土曲面构件的纵波层的分析和成像技术

在进行大跨度铁路连续梁桥检测时发现,作为悬臂现浇结构,0号块浇筑过程中由于其致密钢筋网及振捣不充分的影响,内部较容易形成不密实区域,影响桥梁的结构安全。现今行业内主要采用雷达和弹性波检测技术对运营中的桥梁进行检测。 2022-03-22 工业CT无损检测

大型强子对撞机的报告,迄今最大的正反物质的不对称现象

据欧洲核子研究中心官网近日报道,大型强子对撞机(LHC)上底夸克探测器(LHCb)实验合作组宣布,他们观察到迄今最大的正反物质不对称现象,有助进一步揭示宇宙为何由物质而非反物质组成。 2022-03-22
阅读排行榜