热点关注:  
放射性同位素 粒子加速器 辐照杀菌 无损检测 高新核材 辐射成像 放射诊疗 辐射育种 食品辐照保鲜 废水辐照 X射线 中广核技 中国同辐

产业应用

镥177-TBM精准靶向治疗为骨转移患者带来生的希望,治疗方法获得国际认可

核医学技术在骨转移瘤的早期诊断和放射性核素靶向治疗中起着关键作用。 2023-02-22 核医学放射性核素镥-177核医药靶向治疗

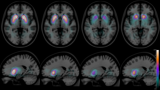
PET/CT显示在原发性醛固酮增多症患者中的应用前景

Pentixafor是2015年开发的一种配体,可与细胞表面的CXCR4受体结合。当与核素Ga-68结合时,产生的放射性示踪剂可以在PET成像上显示异常的CXCR4活性。 2023-02-22 PET/CT放射性示踪剂

国内首个达到临床终点 君实生物PD-1三阴性乳腺癌三期临床成功

晚期TNBC对靶向治疗和内分泌治疗不敏感,缺乏特异性的治疗方法。 2023-02-21 靶向治疗

《NEJM》老年乳腺癌患者不应选择放射治疗的理由

新的研究表明,放疗不能提高老年早期乳腺癌患者的存活率。研究人员说,在目前的标准治疗方法——保乳手术和激素治疗的同时,放射治疗对65岁及以上患者的死亡率没有影响。放射治疗也被发现不会影响继发性肿瘤(即转移)的风险。 2023-02-20 放射诊疗

肝癌患者的新希望——钇90核素治疗

钇90是较理想的治疗用放射性核素,其半衰期为64h,辐射类型为纯β辐射(0.9MeV),可由90Sr-90Y发生器得到。作为一种治疗性核素,钇90通过树脂或玻璃微球搭载,其产生的衰变可发射带有能量的β射线,通过介入手术植入肿瘤灶后可集中较高能量近距离持续杀伤肿瘤细胞。 2023-02-20 放射诊疗靶向治疗放射性药物放射性核素

RadioMedix公司宣布Fusion Pharmaceuticals公司收购其225Ac-PSMA I&T项目

RadioMedix是一家临床阶段的放射药物公司,宣布由Fusion Pharmaceuticals收购其225Ac-PSMA-I&T资产。Fusion Pharmaceuticals是一家临床阶段肿瘤学公司,专注于开发作为精准药物的下一代放射性药物。225Ac-PSMA-I&T目前正在进行一项医师赞助的新药(IND)II期研究(简称TATCIST试验)下进行评估。 2023-02-19 放射性药物

碘[125I]密封籽源 国内市场情况

碘[125I]密封籽源 已进入国家医保乙类目录,适应症为对于浅表、胸腹腔内的肿瘤(如头颈部肿瘤、肺癌、胰腺癌、早期前列腺癌),如果其肿瘤为不能切除的、局部的、生长缓慢的、对放射线低度或中度敏感时,可用碘[125I]密封籽源进行治疗。碘[125I]密封籽源也可适用于经放射线外照射治疗残留的肿瘤以及复发的肿瘤。 2023-02-18 放射诊疗放射性药物

PET/CT扫描可以替代淋巴瘤患者的骨活检吗?

根据2月12日发表在《Cureus》杂志上的研究,在淋巴瘤患者的骨髓癌检测中,FDG-PET/CT扫描可能比侵入性活检更受青睐。 2023-02-17 PET/CT

放射性标记抗体的功能化以增强高对比度脑成像的外周清除率

早在2 年前,正电子发射断层扫描 (PET) 药物 [11C]Pittsburg compound B ([11C]PiB),因其与活脑种淀粉样蛋白-β (Aβ) 斑块的结合与可视化,为阿尔茨海默病 (AD)的研究和诊断提供了新的研究方向。然而,进一步的研究表明,在疾病进展过程中,放射性示踪剂的脑滞留保持静止,并且特定APP突变携带者以及Aβ斑块主要弥漫的AD患者的Aβ病理学无法用该方法观察。 2023-02-16 PET/CT放射性示踪剂

淋巴瘤患者检测到与新冠肺炎疫苗相关的PET示踪剂摄取

根据埃及的一个研究小组,接受利妥昔单抗治疗(Rituximab)的淋巴瘤患者中,超过一半的患者在第二次注射辉瑞的新冠肺炎疫苗后,在PET/CT成像中显示淋巴结中摄取了F-18 FDG放射性示踪剂。 2023-02-15 PET/CT放射医学放射性示踪剂

上海市质子重离子医院治疗出院患者量累计5,300余例

医院相关负责人表示,医院将继续在肿瘤粒子放疗领域深耕细作,持续推进优质医疗资源升级扩容,筹划二期质子重离子建设项目,让更多国内患者有机会接受国际尖端的质子重离子放疗。 2023-02-15 重离子治疗质子治疗放射诊疗

PBS FLASH质子治疗的研究进展(三):PBS布拉格峰FLASH质子治疗、生物学研究

近年来使用超高剂量率进行放射治疗(FLASH-RT)实验研究已经证实该模式能够提高正常组织的放射线保护,同时与传统的剂量率放射治疗模式相比,两者对肿瘤的控制率差别不大。对于质子FLASH,以往的研究大多局限于将质子束通过散射的方式扩展到更大视野范围,这种方式简单,容易实现,但存在射野范围较小、剂量分布无法调节的缺点,很难转换为人体FLASH临床治疗。 2023-02-14 放射诊疗

Clarity针对前列腺癌生化复发的Cu-64 SAR-bisPSMA临床试验完成患者招募

根据新型PSMA-PET显像剂制造商Clarity Pharmaceuticals的说法,COBRA试验(NCT05249127)的I期和II期患者招募目标已实现,该试验旨在探索64Cu SAR-bisPSMA治疗前列腺癌生化复发(BCR)患者的功效。 2023-02-14 PET/CT

叶片水同位素生态水文方面取得新进展

植物叶片水同位素比值为现代生态水文研究和植物衍生的有机生物指标古环境研究建立联系,成为现代生态学和古环境研究的桥梁。因此,深入理解叶片水氢和氧同位素比值的控制因素和差异性响应不仅可以促进生态水文的发展,而且有助于推动有机生物指标的古环境和古气候指示意义的研究。 2023-02-13 产业应用

科学家同位素新技术可识破“洗澡蟹”

据了解,之前可以使用传统的“溶液提纯法”来分析蟹壳中的锶同位素,耗时长、成本高。近期,黄方教授团队和中国地质大学(武汉)的蔺洁副研究员合作创新,开发出激光剥蚀多接收电感耦合等离子体质谱仪检测方案,将检测时间从原来的4天以上缩短为1天,检测成本降至五分之一以下,使“大闸蟹原产地检测”的实际应用成为可能。 2023-02-13 食品检测同位素分析
阅读排行榜