热点关注:  
放射性同位素 粒子加速器 辐照杀菌 无损检测 高新核材 辐射成像 放射诊疗 辐射育种 食品辐照保鲜 废水辐照 X射线 中广核技 中国同辐

产业应用

分子成像让我们深入了解化疗脑

一篇新发表的文献综述阐明了核医学脑成像如何帮助评估导致化疗相关认知障碍(CRCI,俗称化疗脑)的生物学变化。有了这些信息,患者可以更好地了解他们在治疗期间和治疗后认知状态的变化。 2023-04-06 核医学PET/CT

Ablaze Pharmaceuticals计划在大中华区开发创新性GPC3靶向放射性药物以用于肝癌治疗

Ablaze和RayzeBio之间的战略合作很好地结合了RayzeBio在靶向放射性治疗药物(TRT)研发方面的优势和Ablaze在中国治疗产品临床开发和放射性药物基础设施方面的专业经验。 2023-04-04 放射性药物靶向治疗放射诊疗放射性核素放射性同位素

为世界文化遗产保护贡献“高能”解决方案——文物保护实验室成员赴敦煌研究院开展合作交流

科研计划处处长徐殿斗率领研究所文物保护实验室以及相关人员赴敦煌研究院开展学术合作交流。双方在缪子成像、X射线背散射成像、远程激光光谱技术、国家文物数据中心建设等方面如何更好的与文物保护相结合进行了深入的交流与探讨。 2023-04-04 核技术X射线宇宙射线

Kronos聚变能释放突破性的S.M.A.R.T.40方法:开创清洁、无边界能源的新时代

聚变能技术的行业领导者 Kronos Fusion Energy 公布了其开创性的 SMART 40 商业化战略,其目标是到 2036 年大规模生产聚变能发电机。 2023-04-04 质子加速器

谢家麟:中国加速器物理之第一人

20世纪80年代,中国也开始启动北京正负电子对撞机(BEPC)的设计和建设,谢家麟被任命为北京正负电子对撞机的总设计师。 2023-04-03 北京正负电子对撞机

密苏里大学宣布启动NextGen MURR项目,这是一个新的研究反应堆,致力于用先进的核医学来改善和拯救生命

密苏里大学研究反应堆(MURR)的10兆瓦堆芯位于一个30英尺深的水池中,用于暴露辐射样品,以生产用于医用放射性药物和研究使用的同位素。MURR于1966年开始运行,目前是全球唯一一个全年每周运行6天半的研究反应堆。利用这一独特设施,密苏里大学长期以来在开发癌症成像和治疗药物方面处于领先地位。密苏里大学的计划,建立MURR NextGen——一个新的,更大的反应堆将扩充大学生产医用同位素的能力,这是关键的国家资源。 2023-04-03 医用同位素放射性同位素放射性药物

试点研究:基于新型肽类示踪剂99mTc-HP-Ark2对乳腺癌患者HER2的分子成像

近年来,研究中心在国家自然科学基金委和科技部等单位的资助下,开展了一系列具有特色的研究工作,将放射性核素标记到不同的分子上,制备出不同的分子探针,进行肿瘤的显像与治疗研究。 2023-03-31 放射性核素辐射成像

最新成果:科研人员开发用于核医学成像的新型紧凑型低成本无透镜放射性显微镜

根据发表在《核医学杂志》3月刊上的研究,一种能够以非常高的分辨率可视化医用放射性药物分布的新型成像模式已经开发并成功测试。 2023-03-29 医用同位素放射性同位素核医学放射性药物

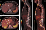
全球首例钇[90Y]炭微球结直肠癌肝转移介入手术成功实施

钇[90Y]炭微球注射液是选择性内照射治疗(SIRT)用放射性微球,是以炭微球为载体负载高活度的放射性钇[90Y]而得,通过DSA介入手术经肝动脉灌注至肿瘤供血动脉。钇[90Y]炭微球随血流分布并阻滞于肿瘤组织微小动脉和毛细血管中,钇[90Y]发射纯β射线,平均能量为0.9367MeV,平均组织穿透距离为2.5mm,最终通过选择性内照射治疗杀死肿瘤细胞达到治疗目的。 2023-03-28 放射诊疗靶向治疗

核医学不愿再被“误会”!广东加强核医学质量控制

PET也就是正电子发射计算机断层扫描,是肿瘤临床诊治领域广泛使用的高端影像检查设备,也是核医学发展的重要“利器”。记者从近日在穗举行的核医学高质量发展研讨会暨2023广东省医院协会核医学管理专业委员会年会、广东省核医学质控中心第一次工作会议上获悉,广东试点建立PET/CT适宜性点评制度,将就PET/CT应用中的适应症和适宜性等问题等进行规范。 2023-03-27 核医学PET/CT

通过[89Zr]Zr(oxinate)4直接放射性标记细胞外囊泡的PET成像

研究团队想到了利用正电子发射断层成像(PET)搭配长半衰期核素的示踪手段,在本报告中,研究团队探索了[89Zr]Zr(oxinate)4(一种细胞和脂质体放射性示踪剂)用于几种类型的sEV的直接和腔内放射性标记的用途,实现了高放射性标记产率。 2023-03-27 放射性示踪剂PET/CT

Curium证实其ECLIPSE III期临床试验在北美和欧洲没有供应挑战

临床试验供应的可靠性对于我们的患者和研究人员来说极其重要,我们很高兴地确认,我们的177Lu-PSMA-I&T临床试验供应保持不间断。Curium致力于ECLIPSE临床试验以及其他正在进行的肿瘤学临床试验,通过我们在核医学方面值得信赖的传承,进一步实现我们的使命,即重新定义癌症经历。” 2023-03-27 镥-177核医学

Defense Therapeutics和Orano合作开发放射免疫偶联物

这一新概念将有助于开发新的靶向放射疗法,通过将生物分子(如抗体)靶向癌细胞的能力与放射性元素相结合,以摧毁癌细胞。新的放射疗法将与Defence的细胞内靶向技术配合使用,以提高疗效。 2023-03-27 放射诊疗靶向治疗放射性药物放射性核素

核废料深度存储方法

传统观点认为,核废料应该在地下几百米以内的深层地质储存库中处理。 2023-03-24 核废料处理放射性废物放射性物质

洛斯阿拉莫斯国家实验室开发铀-230/钍-226放射性同位素发生器

洛斯阿拉莫斯国家实验室(Los Alamos National Laboratory)开发了一种新的系统,用于产生发射α粒子的医用放射性同位素,目标是在压制患病组织的同时不伤害周围的健康组织。发生器装有铀-230,它会衰变为钍-226。进一步的衰变产生短半衰期的子同位素,释放出四个以上的阿尔法粒子,产生非常高的组合辐射剂量来摧毁癌细胞。 2023-03-24 放射性同位素
阅读排行榜