热点关注:  
放射性同位素 粒子加速器 辐照杀菌 无损检测 高新核材 辐射成像 放射诊疗 辐射育种 食品辐照保鲜 废水辐照 X射线 中广核技 中国同辐

PET/MRI

核医学精准评估新突破:PET/MR同步成像验证冠状动脉微血管功能障碍诊断价值

近日,核医学精准诊疗技术在心脑血管疾病评估中取得重要进展。中国科学技术大学附属第一医院王雪梅教授团队在一项临床研究中,利用一体化PET/MR同步成像技术,系统评估了¹³N-氨PET心肌灌注显像与MRI首过灌注显像在诊断冠状动脉微血管功能障碍中的一致性,为无创精准评估心肌微循环功能提供了新的技术验证。该研究前瞻性纳入39例临床疑诊冠状动脉微血管功能障碍患者,在一体化PET/MR系统上同步进行¹³N-氨PET与钆剂增强MRI... 2026-02-28 核技术核医学PET/MRI

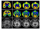
四川省肿瘤医院运用¹⁸F核素显像技术首次实现阿尔兹海默症精准诊断

近日,四川省肿瘤医院核医学科成功完成首例阿尔兹海默症患者的¹⁸F-Aβ淀粉样蛋白PET/CT及PET/MR头颈显像。此次成功开展,标志着我院核医学分子影像技术在神经退行性疾病精准诊断领域实现重要应用。此次显像所采用的技术核心在于放射性核素¹⁸F(氟-18)。¹⁸F是通过回旋加速器生产的正电子核素,将其标记到可特异性结合β-淀粉样蛋白的分子上,即制备成¹⁸F-Aβ淀粉样蛋白示踪剂。将 2026-02-16 核医学PET/CT放射性药物PET/MRI

核医学双核素显像精准定位癫痫病灶 为外科手术成功“导航”

近日,核医学领域一项针对药物难治性癫痫的创新诊断方案获得重要进展。通过结合两种不同的放射性核素显像技术,医生能够在术前更精确地定位引发癫痫的致痫灶,从而为手术治疗提供关键依据。传统的癫痫病灶定位依赖于磁共振、脑电图及¹⁸F-FDG PET(氟代脱氧葡萄糖正电子发射断层扫描)等技术组合。其中,¹⁸F-FDG PET通过显示脑部葡萄糖代谢异常来指示病灶,但往往定位范围较广,特异性有限。为提升精度,北部战区总医院的研究团队引入了... 2026-02-14 核医学核医药放射性药物PET/MRI

布鲁克获50亿美元MRI超导材料大单

近日,布鲁克公司能源与超导技术事业部宣布与两家全球医疗保健公司签署总额约5亿美元的超导材料长期供应协议。根据协议,布鲁克将主要为位于英国和美国的磁共振成像系统制造基地提供高性能超导材料,其中一份合作协议期限长达七年。此次扩大的合作框架下,布鲁克将依托其在美国和欧洲的生产基地及成熟供应链体系,交付满足先进MRI磁体在质量与性能方面严苛要求的超导产品。这些协议旨在应对放射学设备领域不断发展的需求,特别是支持新型无液氦... 2026-01-13 PET/MRI核技术

单项MRI检查结果可独立预测心力衰竭

一项新研究揭示,即便不考虑临床变量和既定影像学标志物,心脏磁共振成像(MRI)中的一项检查结果——右心室整体纵向应变,也能独立预测心力衰竭的发生。研究人员利用心脏磁共振成像技术,发现心脏右心室整体纵向应变在预测心力衰竭方面具有重要预后价值,该指标测量的是心跳过程中右心室的纵向缩短程度。近年来,专家们对应变测量作为预测不良心脏事件的指标兴趣渐浓,这项研究则聚焦于右心室应变指标,深入探究其在心力衰竭发展过程中的作用。伦敦... 2025-11-23 PET/MRI

英国伯明翰大学开发新型MRI造影剂 稳定性与有效性双提升

英国伯明翰大学的科研团队近期在磁共振成像(MRI)造影剂领域取得重要进展,成功研发出一种新型MRI造影剂,显著提升了其稳定性与成像效果。该团队由安娜·皮科克教授领衔,她指出,MRI检查常依赖钆基造影剂(GBCA),但钆的潜在积聚风险一直引发关注。为解决这一问题,皮科克团队探索出增强金属螺旋线圈稳定性的新方法。研究显示,通过共价交联策略,新型MRI造影剂不仅展现出更强的钆结合力,有效降低了游离钆意外释放的风险,还大幅提升了造影剂的动力学稳... 2025-11-16 PET/MRI

美国RadNet收购Alpha RT 拓展远程MRI扫描服务版图

门诊影像中心领域的企业RadNet Inc.于近日宣布,已完成对远程MRI解决方案提供商Alpha RT资产的收购。此次收购旨在进一步强化RadNet在远程放射科服务,尤其是磁共振成像(MRI)领域的市场地位。Alpha RT公司以其全面的远程MRI服务著称,涵盖人工智能驱动的安全监控系统,该系统可实时监测MRI设备,预防潜在故障。此外,Alpha RT还提供人员配备、专业培训及认证服务,确保远程操作的高效与安全。RadNet表示,通过此次收购,其子公司DeepHealth将能够提供... 2025-11-10 PET/MRI美国

哈医大肿瘤医院王可铮教授团队双线突破!无创预测结直肠癌MSI状态+研发新型双靶点PET示踪剂

近日,哈医大肿瘤医院PET/CT-MR中心王可铮教授团队的研究成果在国际高水平放射学期刊——欧洲放射学《European Radiology》(JCI一区,中科院二区TOP)发表。该研究基于多中心临床数据,深入探讨结直肠癌(CRC)患者术前PET衍生代谢参数对病灶微卫星不稳定性(MSI)状态的无创预测价值,并通过MSI状态开展亚组分析,进一步评估了PET衍生参数在术后疾病进展中的预后分层作用。根据国家癌症中心2025年最新统计,结直肠癌在我国恶性肿瘤中的发病率位居第... 2025-10-26 核医学靶向治疗PET/MRI

GalliaPharm®获日本营销授权 镓-68诊断技术更广泛应用

Eckert & Ziegler Radiopharma GmbH公司近日宣布,其GalliaPharm® 68 Ge/68 Ga放射性核素发生器已在日本获得营销授权。该授权通过诺华制药株式会社(Novartis Pharma KK)进行,后者将作为GalliaPharm®在日本的指定营销授权持有人,负责产品分销和安全信息管理。这项授权为日本基于镓-68的诊断技术广泛应用铺平了道路。诺华公司的Locametz®试剂盒,已用于放射性药物制备68 Ga- 2025-09-30 放射性药物医用同位素PET/MRI日本

Gozellix®获CMS过渡性转手地位 前列腺癌成像迎来新进展

Telix公司近日宣布,其研发的Gozellix®(用于制备镓-68戈泽托肽注射液的试剂盒)已获得美国医疗保险和医疗补助服务中心(CMS)授予的过渡性转嫁(TPT)付款状态。这一认证自2025年10月1日起生效,标志着Gozellix®将在医院门诊预付费系统(HOPPS)下实现单独报销,成为Telix在美国商业战略中的重要里程碑。Gozellix®作为下一代PSMA-PET前列腺癌成像剂,已获得永久医疗保健通用程序编码系统(HCPCS)二级代码A9616,该 2025-09-28 放射性同位素PET/MRI美国

核医学检查辐射防护:科学应对,守护健康安全

核医学检查中,患者常需注射带有放射性的核素显像剂,这些放射小客人虽能帮助医生精准定位病灶,却也让不少人担忧辐射对家人的影响。其实,只要掌握科学防护方法,就能在治疗的同时保障家人安全。核医学检查的辐射并不可怕,关键在于科学防护。不同放射性药物的停留时间差异显著。例如,骨扫描常用的99mTc半衰期仅6小时,24小时内基本衰减完毕;PET-CT检查使用的18F半衰期更短,仅109分钟,8小时后辐射水平已接近安全范围。这类短半衰期药物注射后,患者只... 2025-09-28 放射性药物PET/MRI靶向治疗

Cubresa 和西门子医疗签署 Cubresa BrainPET™ 扫描仪全球主接口协议

Cubresa公司与西门子医疗宣布签署了一项合作协议,双方将共同推动医学影像技术的创新与发展。根据协议内容,Cubresa的BrainPET扫描仪将被集成到西门子医疗的Magnetom MRI扫描仪中,以进一步提升MRI扫描仪的功能性与应用范围 2025-02-13 西门子医疗PET/MRI

利用 VMAT 加速 MR 引导放射治疗

在 MR-linac 上引入 VMAT UMC Utrecht 研究团队在研究中使用的实验装置旁边。从左到右:Bas Raaymakers、Pim Borman、Martin Fast 和 Peter Woodhead。(图片来源:Martin Fast)爱荷华大学和乌得勒支大学医学中心的研究人员正在努力将容积调强弧形治疗 (VMAT) 传输功能整合到 MR-linac 中 2024-12-09 放射诊疗核磁共振PET/MRI

IEEE JBHI封面 | 胡战利研究员团队实现全脑区PET/MR高清成像

脑科学作为生命科学领域的重要前沿分支,其复杂性构成了科学研究中的一项重大难题。特别是如阿尔茨海默病、抑郁症、自闭症、帕金森病等神经退行性疾病和精神疾病领域,脑科学研究对于理解其神经生物学基础至关重要。结合解剖结构和功能代谢信息的一体化PET/MR设备,是目前神经系统疾病诊断和科学研究的一种重要多模态分子影像技术。然而,PET/MR扫描需要注射标准剂量的放射性示踪剂,增加了患者的辐射风险。近日,中国科学院深圳先进技术研究院... 2024-09-25 核技术核医学PET/MRI

新增核医学科门诊!北京友谊医院顺义院区

近日北京友谊医院顺义院区核医学科开诊将充分发挥友谊医院学科优势并结合顺义院区医疗特点为患者提供核医学相关诊疗服务顺义院区核医学科注射室。北京友谊医院顺义院区核医学科开诊后,将更加规范核素分类使用及管理,诊疗流程、结构设计也更合理。科室配备的64排PET/CT、16排SPECT/CT等高端设备及新增的核素治疗病房,可为临床和患者提供高质量的诊疗服务。核医学科将持续深耕罕见病核医学检查领域,在巩固现有罕见病诊疗工作的基础上,积极... 2024-08-30 核医学PET/CTPET/MRI
阅读排行榜