热点关注:  
放射性同位素 粒子加速器 辐照杀菌 无损检测 高新核材 辐射成像 放射诊疗 辐射育种 食品辐照保鲜 废水辐照 X射线 中广核技 中国同辐

PET/CT

一种前列腺癌诊断试剂Cu-64 SAR-bombe sin 开始在美国招募患者进行II期试验

SABRE(前列腺癌生化复发中的铜-64 SAR-bis spma)是一项II期正电子发射断层扫描(PET)成像试验,参与者为PSMA阴性的前列腺癌生化复发(BCR)患者,接受确定性治疗。 2022-09-07 PET/CT放射性药物

68Ga-PSMA PET/CT协议可能因RP或BCR而不同

在第37届欧洲泌尿学协会会议上发表的一项研究分析了207名接受68Ga-PSMA PET/CT的前列腺癌患者。研究人员发现,患者的PSA水平,以及PSMA PET/CT期间BCR的时间,会对PSMA PET期间阳性发现的机会产生影响。 2022-09-01 PET/CT

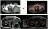
68Ga-PSMA PET/CT和mp-MRI在前列腺癌局部分期中的应用

成像技术用于对临床相关的前列腺癌进行分类和分级。在一项研究中,研究人员使用68Ga-PSMA PET/CT(PSMA)和多参数前列腺MRI(mp MRI)检查了局部区域分期和前列腺内肿瘤检测的准确性。 2022-08-23 辐射成像PET/CTPET/MRI

2022年河北省核医学暨放射药学学术年会成功举办

会议还同时举办了不明原因发热与PET/CT继续教育专场、影像与治疗专场、体外免疫分析专场、技术与护理专场、放射药学及县域核医学学科建设专场及精彩的阅片大赛等活动。 2022-08-23 放射诊疗PET/CT

PET/MRI在的最佳应用出现在4个关键临床领域

今天的问题不是为什么PET/MRI混合扫描仪应该优于PET/CT,而是如何更好地使用它们。这是一位混合成像领域的顶级德国专家的观点,他指出了PET/MRI被证明是游戏规则改变者的四个主要应用。 2022-08-21 PET/CTPET/MRI

创新发展,联核共赢----2022年核医学酒城论坛在泸州顺利召开

2022年7月23日,由西南医科大学附属医院、中国核动力研究设计院主办,上海联影医疗、原子高科、成都欣科、四川玖谊源协办的2022年核医学酒城论坛暨国家级继续医学教育项目《多模态PET融合影像临床应用及研究新进展》会议在四川泸州顺利举行。本次会议内容丰富,来自全国各地的核医学专家、同仁分享了核医学领域的新技术及新进展,并就国产医用同位素及药物发展、PET融合影像临床应用的价值、核医学质控与普查报告、PET/CT优秀病例报告、研究生论坛进行了深入的探讨。 2022-08-20 PET/CT核医学

吴美其:18F-FDG PET/CT 对胰腺导管腺癌一线化疗治疗疗效的早期与晚期评估

因此,这项探索性前瞻性研究,试图探究 FDG PET 评价的代谢缓解是否可预测胰腺癌一线化疗患者的生存,提出的假设是早期代谢应答比早期形态应答能更好预测患者总生存期(OverallSurvival, OS)。 2022-08-20 PET/CT核医学

湘雅医院PET/MR场地升级 打造国内领先的高端PET中心

8月15日,中南大学湘雅医院核医学(PET中心)的PET/MR新场地改造项目顺利竣工。改造后的该中心使用面积达到了3800㎡,同时引进了国际领先、湖南省首批PET/MR设备,PET/MR新场地试运行后预计于10月份正式投入使用,而第二台PET/CT预计今年底引进,将打造位居国内领先行列的高端PET中心。 2022-08-19 PET/MRIPET/CT

ITM获得开发下一代治疗诊断学的新平台

领先的放射性药物生物技术公司ITM同位素技术公司(ITM)今天宣布,它已签署了一项协议,收购正电子精密有限公司,这是一家为正电子发射断层扫描(PET)示踪剂和各种放射治疗候选物开发技术平台的公司。作为交易的结果,ITM将能够开发下一代“摇动和注射”冷试剂盒,以针对广泛的适应症,从而进一步加强其在放射诊断领域的地位。此外,该交易将为ITM强大的放射治疗肿瘤学管道增加新的治疗候选。 2022-08-19 放射诊疗PET/CT放射性药物

阿尔茨海默氏症研究人员发现女性头骨中PET示踪剂摄取量高

目前确定一个活着的人是否患有阿尔茨海默病以及如果患有,病情的严重程度的指南主要基于PET成像,即大脑中累积的β-淀粉样斑块和神经原纤维tau蛋白缠结。PET放射性示踪剂被设计成与淀粉样斑块和tau蛋白结合,从而向受影响的大脑区域发出信号。 2022-08-18 PET/CT辐射成像

傅璠:《68Ga-FAPI PET/MR在急性心梗后早期心肌成纤维细胞激活及心功能预测的研究》

以往FAPI PET应用主要集中于肿瘤学,在良性纤维化疾病的应用论文报道较少。这篇文献点出了FAPI PET显像在心脏疾病中的应用价值之一,其不仅比较了PET与MR信号之间相关性及差异性外,最重要的一点是提示FAPI与心梗预后的显著相关,具有良好的应用前景。 2022-08-18 PET/CTPET/MRI

基于成像的辐射剂量测量新方法

Abhinav Jha是圣路易斯华盛顿大学McKelvey工程学院的生物医学工程师,他实验室的学生和合作者开发了一种测量α粒子发射放射性药物疗法分布的方法。α粒子是一种辐射形式,对高度局部化的细胞具有强烈的毒性作用。在各种测试中,他们发现拟议的低计数定量单光子发射计算机断层扫描(LC-QSPECT)方法提供了对放射性核素摄取的可靠测量。 2022-08-17 放射性药物PET/CT

范日升:《和您一起认识PET/CT》

PET/CT是医院最高端的影像检查设备之一,一次显像可获得全身各部位的断层影像及功能信息,灵敏、准确、定位精确。PET/CT 是将正电子发射计算机体层显像(positron emission computed tomography,PET)与 X-计算机体层摄影(X-computed tomography,X-CT)整合为一体化,是功能显像和解剖显像的有机结合,在分子水平上显示组织细胞的代谢、功能、血流、细胞增殖和受体分布,广泛应用于肿瘤、心血管疾病、神经功能病变、淋巴系统疾病等方面,为临床提供疾病生理和 2022-08-16 PET/CT辐射成像

全身PET图像揭示人体对COVID的免疫反应

这项新发现是加州大学戴维斯分校和联合成像公司合作的结果。他们一起开发了世界上第一台全身PET/CT扫描仪。 2022-08-16 PET/CT

广东省核医学专业质量控制中心成立大会胜利召开!

如今,在核医学专业质量控制中心成立的契机之下,更要将质控工作做好做强,不断创新,实践并受益于临床。刘院长高度肯定了中心核医学科近几十年在设备水平、人才水平、服务水平上的不断提高,并针对患者诊疗,临床需求等方面对质控中心提出了更高的要求。 2022-08-15 核医学PET/CT
阅读排行榜