核医学技术为一种常见的内分泌疾病——原发性醛固酮增多症的精准治疗提供了新路径。北京协和医院核医学科霍力教授团队联合泌尿外科、内分泌科团队的最新临床研究表明,采用靶向放射性药物68Ga-pentixafor进行PET/CT显像,在指导该疾病手术治疗方面展现出与传统有创金标准方法相当的效能。
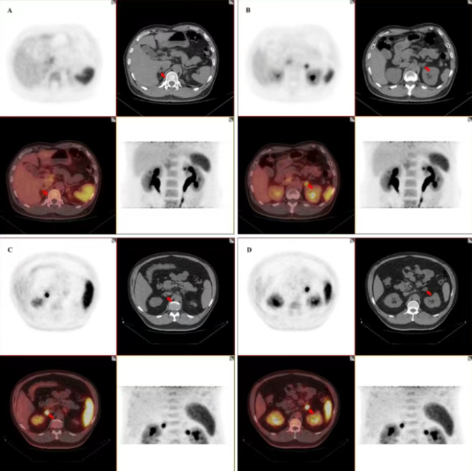
原发性醛固酮增多症(PA)是导致继发性高血压的主要原因,其治疗关键在于准确判断病变是单侧腺瘤还是双侧增生。长期以来,肾上腺静脉采血(AVS)是该分型诊断的金标准,但其操作复杂且有创。68Ga-pentixafor是一种新型PET示踪剂,它通过特异性结合病变组织中高表达的CXCR4受体,使病灶在核医学影像上清晰显影。
在这项前瞻性研究中,共197例PA患者被分为两组。PET组(137例)依据68Ga-pentixafor PET/CT结果决定手术方案:单侧显影则行同侧手术,双侧显影则在标准摄取值(SUVmax)更高的一侧手术。AVS组(60例)则依据传统AVS结果手术。术后平均27个月的随访采用国际PASO标准进行评估。

结果显示,两组患者在术后临床完全缓解率(PET组51.5% vs. AVS组35.1%)和生化完全缓解率(PET组82.1% vs. AVS组75.4%)上均无统计学显著差异,总体获益率也相近(PET组95.5% vs. AVS组93.0%)。这表明基于核医学影像的手术指导取得了与金标准方法同等的治疗效果。研究进一步通过受试者工作特征曲线分析,确定了SUVmax的最佳诊断临界值为5.5,此时识别功能性病灶的灵敏度达82.8%,特异度达92.6%。
尤其对于诊断更为复杂的双侧病变患者,68Ga-pentixafor PET/CT展现了独特优势。在PET组53例双侧影像学异常的患者中,有34例被该显像精准判别为“一侧阳性”,这些患者术后获益率达到100%。这体现了核医学分子影像不仅能够定位病灶,还能无创地评估其相对功能活性,为个体化手术决策提供关键信息。
该研究也存在一定局限性,如双侧病变样本量有待扩大,且未对同一患者进行两种方法的直接对比。尽管如此,作为首项以手术疗效为依据对比两种方法的研究,它有力证明了68Ga-pentixafor PET/CT作为一种无创的核医学手段,有望成为PA患者术前分型诊断的重要工具,未来或可减少对有创AVS检查的依赖。这项成果凸显了靶向放射性药物与PET/CT成像技术在实现精准医疗方面的巨大潜力。