近日,核医学领域一项针对药物难治性癫痫的创新诊断方案获得重要进展。通过结合两种不同的放射性核素显像技术,医生能够在术前更精确地定位引发癫痫的“致痫灶”,从而为手术治疗提供关键依据。
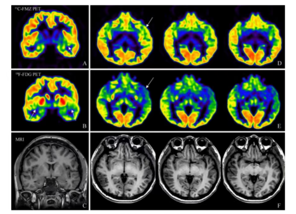
传统的癫痫病灶定位依赖于磁共振、脑电图及¹⁸F-FDG PET(氟代脱氧葡萄糖正电子发射断层扫描)等技术组合。其中,¹⁸F-FDG PET通过显示脑部葡萄糖代谢异常来指示病灶,但往往定位范围较广,特异性有限。为提升精度,北部战区总医院的研究团队引入了¹¹C-FMZ PET(氟马西尼正电子发射断层扫描)显像技术。¹¹C-FMZ能特异性结合大脑内γ-氨基丁酸苯二氮䓬受体,而该受体数量在致痫灶区域通常减少,从而实现对病灶的分子水平精准示踪。

研究团队对17名药物难治性癫痫患者进行了回顾性分析。这些患者在术前均接受了¹¹C-FMZ和¹⁸F-FDG PET/MR一体化扫描。结果显示,两种技术优势互补:¹⁸F-FDG PET在判断致痫灶位于大脑哪一侧时表现出高准确性(94.1%),并能有效提示多发病灶的存在;而¹¹C-FMZ PET在精确定位病灶具体位置方面表现更优,准确率达88.2%,尤其对于海马硬化等常见单一病灶,其识别具有高度特异性,避免了传统方法定位范围过大的问题。
该双核素显像策略的核心价值在于,将反映脑代谢的¹⁸F-FDG与靶向特定受体的¹¹C-FMZ相结合,实现了对致痫灶从“功能异常区域”到“特异性病理靶点”的双重验证。两种显像剂均为临床成熟用药,安全性已得到广泛验证。¹⁸F-FDG为葡萄糖类似物,参与正常代谢;¹¹C的半衰期较短(约20分钟),检查后体内辐射水平迅速降低。
此项研究表明,核医学PET/MR多模态融合成像技术,通过整合不同的放射性示踪剂,能够为药物难治性癫痫的术前评估提供更丰富、更精确的信息。这种“全面筛查”与“精准锁定”相结合的方案,有望帮助神经外科医生制定更优的手术规划,提升手术成功率,为更多药物难治性癫痫患者带来新的希望。未来,随着技术的进一步优化与普及,此类精准核医学诊断方法的应用前景将更为广阔。