热点关注:  
放射性同位素 粒子加速器 辐照杀菌 无损检测 高新核材 辐射成像 放射诊疗 辐射育种 食品辐照保鲜 废水辐照 X射线 中广核技 中国同辐

医学领域

中国首发!医科达最新一代伽玛刀Elekta Esprit重磅亮相进博会

第六届中国国际进口博览会(进博会)于11月5日在上海盛大开幕,全球精准放疗先锋医科达六度赴约!在继2018年首届进博会隆重首发Leksell Gamma Knife® IconTM立体定向放射外科治疗系统后,医科达在今年进博会上重磅首发又一力作——Elekta Esprit最新一代伽玛射线头部立体定向放射外科治疗系统。 2023-11-06 核技术伽马刀核医学

甘肃省同位素实验室一期项目通过规划验收

近日,兰州新区自然资源局组织相关专业人员对中国科学院近代物理研究所甘肃省同位素实验室一期项目进行规划验收。经核定,该项目各建(构)筑物和经济技术指标均满足建设工程规划许可证和规划条件通知书的规定,顺利通过规划验收。 2023-11-02 核技术医用同位素放射性药物靶向治疗

肿瘤患者的治疗“利器”丨山东大学齐鲁医院德州医院引入高端医用直线加速器

为了满足肿瘤患者就医需要,提高患者就医体验,近日,山东大学齐鲁医院德州医院引进Elekta Infinity高端医用直线加速器。该设备的使用标志着医院放射治疗科的诊疗服务迈上新台阶。 2023-11-02 直线加速器核医学放射诊疗

放射诊疗策略为对抗胰腺癌提供了强大的新方法

胰腺导管腺癌(PDAC)是世界上最致命的癌症之一,5年生存率低于10%。许多PDAC肿瘤无法在早期阶段被发现,因为常规的成像方法包括fluorodeoxyglucose正电子发射断层扫描(PET))无法发现它们。为了更有效地对抗这种癌症,由大阪大学研究人员领导的一个团队正在将诊断和治疗程序结合成一个单一的综合过程,即诊疗学。 2023-10-31 放射诊疗靶向治疗

陕西省卫生健康委组织专家组对陕健医澄合矿务局中心医院医用直线加速器和CT模拟机房建设项目开展放射性职业病防护设施竣工验收现场评审

近日,按照陕西省卫生健康委要求,省卫生健康委职业健康处调研员魏永强,卫生健康督导中心魏红梅科长、王琨监督员,渭南市监督所高红玲科长以及专家组成员郑桂芳、王书文、王青、吴湘阳一行对陕健医澄合矿务局中心医院6MV医用直线加速器和CT模拟定位机项目放射防护诊疗设备进行竣工验收检查和指导工作。调研员魏永强对验收工作程序进行了部署。 2023-10-31 核技术直线加速器放射诊疗

同位素及药物国家工程研究中心第一届理事会暨专家委员会全体会议在四川成都召开

10月27日上午,同位素及药物国家工程研究中心第一届理事会暨专家委员会全体会议在四川省成都市召开。 2023-10-30 医用同位素核医学核医药

放射抗体偶联药物诱导PSMA阳性mCRPC患者的抗肿瘤活性

根据Ⅰ期ProstACT SELECT研究(NCT04786847) 的初步结果,首创的放射性抗体偶联药物TLX591(Lu-177 rosopatamab tetraxetan)在PSMA阳性转移性去势抵抗性前列腺癌(mCRPC)患者中显示出良好的疗效和安全性。1 2023-10-30 核技术放射诊疗靶向治疗

中国同辐助力安阳市肿瘤医院通过“核医学诊疗工作推进示范基地建设项目”验收

10月26-27日,中华医学会核医学分会与中国同辐一行对安阳市肿瘤医院“核医学诊疗工作推进示范基地建设项目”(简称“项目”)进行验收。专家组到医院核医学科进行实地考察,详细了解了项目建设情况及学科发展现状,对医务人员在实际工作中遇到的问题,进行了现场指导。 2023-10-29 放射诊疗核医学

川粤协作 助力我省六大优势产业提质倍增

广东是联动对接粤港澳大湾区的桥头堡,也是四川重要的投资来源地。今年上半年,广东企业在川新增投资808.18亿元,同比增长4.37%。川粤两地产业协作,在打开投资合作新空间的同时,也助力我省六大优势产业提质倍增。 2023-10-27 核技术核医药质子治疗中广核放射性同位素

弥补空白!我国新型双螺旋断层放射治疗平台正式批量生产

10月25日,中核集团旗下中国宝原下属上市公司中国同辐(HK01763)在天津宣布:我国高端医疗领域首款国产新型双螺旋断层放疗产品Tomo C正式自主批量生产,弥补了国内高端放疗产品市场国产化生产空白,标志着我国肿瘤精准治疗迈入了全新局面,开创了中国自主生产新型高端双螺旋断层放疗智造设备的先河。 2023-10-26 中核集团中国同辐放射诊疗

非洲核专家齐聚肯尼亚促进和平利用技术

为期三天的会议周一在肯尼亚首都内罗毕开始,超过2500名与会者出席,讨论各领域和平利用核技术和研究开发问题。 2023-10-24 核医学放射诊疗核技术

PET成像验证普通降胆固醇药物可增强HER2靶向癌症治疗

一种将人表皮生长因子 (HER2)靶向治疗与降胆固醇药物lovastatin相结合的新型治疗方法,可减少防止肿瘤生长所需的癌症治疗次数。通过免疫PET扫描的监测,这种联合疗法有望为癌症患者提供个性化治疗,并使他们免受有害的副作用。这项研究发表在《The Journal of Nuclear Medicine》10月刊上。 2023-10-24 核医学靶向治疗核技术

共筑美好明天——中国同辐与西门子开展合作交流

2023年10月20日下午,西门子医疗分子影像事业部全球总裁James Williams、西门子医疗大中华区副总裁、影像诊断系统负责人黄毅、上海西门子医疗器械总经理孔军一行到访中国同辐,中国宝原总经理王锁会、副总经理张国伟、中国同辐总经理许红超、中核高能党委书记尹红玉等参加座谈,交流讨论。 2023-10-23 中国同辐辐射成像

国内首个核医学专科医院即将在绵阳科技城开建

10月18日,记者从绵阳市卫健委了解到,近日绵阳市中心医院、游仙区人民政府签订战略合作框架协议,将共同打造全国首家核医学治疗专科医院。 2023-10-20 核医学放射医学放射性药物核医药

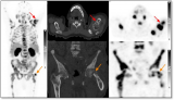
首例患者在前列腺癌诊疗试验中使用Cu-67 SAR-Bombesin

Clarity Pharmaceuticals(Clarity)是一家临床阶段的放射性药物公司,其使命是开发新一代产品,改善儿童和成人癌症患者的治疗结果。 2023-10-20 核医学放射性药物核医药
阅读排行榜